2个月前,突然想到自己多年没有洗牙,于是打开软件找到河源本地适合自己的牙科医院。这家牙科诊所是门店来的,装修的挺豪华,去之前还特意问了洗牙价格和软件显示的一样。这是在越王大道上的牙科诊所我且称为a。
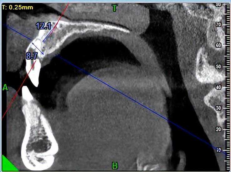
a的服务很好,洗牙过程不停安微告知,服务的很到位。我有个牙齿小学摔裂了1/4,当时补过的。洗牙医生看到我牙龈处有一颗小息肉,建议我拍个X照片来看看什么情况。得知是免费的,我马上同意了。医生放下手上工作,带我去拍照,特意吩咐护士先让我拍。很快拿到结果,医生带我去院长这。院长告诉我,我的牙齿之前摔过的,做的填充不好,里面已经发炎了,牙齿根部已经很溃败了,要把牙齿拔了重新种植。给了我韩国进口牙和美国进口牙的价格,大概8k左右就能包一切。大概流程是,先拔牙,空着半年后再种牙。
我啦了个去,大家也知道疫情对收益影响很大,我很穷,兜里只有个6k左右。家里上有母亲,下有3个小孩,如果不是做电商资金回流的快,真的不知道怎么生活。我尴尬的笑了笑告诉院长我回家商量一下。
回去路上虽然我心情压抑,但是觉得牙齿不通不痒,就没有理会了。一个礼拜左右,好像吃了热气东西,息肉有点变大变白。我马上又过去a牙科这看。医生说:“你看,这个就是后果,建议呀还是拔掉种牙”。我问能不能切掉,然后补点药。他说这样不行的,之后还会长出来的。如果对我们不信任,可以去旁边的河源市医院牙科看看。当时我心动了,想咬牙确定下来的。看到我在思考,他接着问是否有什么顾虑,我说没钱,他说这个不是钱不钱的事,主要是牙齿坏了不拔掉后期会烂掉。
我有一个阿叔,他也拔牙了,一个拔一个接着松,最后一排牙都掉光了。我不想拔牙了,我妈也劝我不要拔牙。接着成年人的冷静告诉我,拿起手机又找了一家牙科,在中山大道上的。我称为Y医院,实话说我现在边敲键盘边感谢这位主治医生叶医生。
刚开始接触,也是让我拍牙齿X照。完了很耐心的给我分析,还有之前的方案,给出治疗的方法,起码我听起来很专业,也深感同受。到现在为止我去了有10次了,每次都是治疗,有几次都是超过1.5小时的,虽然开口时间久很累,但是医生也任劳任怨。目前息肉没有切,通过治疗是慢慢消除了。过多一个礼拜就可以彻底的搞定了。
回想这件事,人有时候通过思考后的选择,加上适当的运气,可能给你带来的后果会很大不同。我没有做谁的托,我是希望通过这事,告诉大家,遇到事情要尽快让自己冷静,不是很熟悉的事,不要马上就办,应该咨询一下有经验的人,多了解几个情况,至少不会损失太大。





